Terapia focal y protonterapia para cáncer de próstata: avances clínicos
Clínica Universidad de Navarra mejora el tratamiento de cáncer de próstata
La Clínica Universidad de Navarra ha dado un paso notable en el tratamiento del cáncer de próstata con el uso de la terapia focal y la protonterapia, dos enfoques innovadores que, además de controlar el tumor, buscan preservar al máximo la calidad de vida del paciente. Estos tratamientos permiten una alta tasa de preservación de funciones esenciales, como la continencia urinaria y la función sexual, lo que representa una importante mejora respecto a los métodos convencionales.

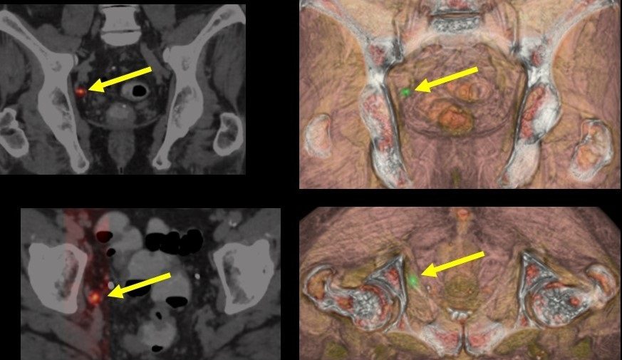
La terapia focal, específicamente la electroporación irreversible, ha demostrado su eficacia en la mayoría de los pacientes tratados. Según datos del Centro de Próstata de la Clínica Universidad de Navarra, esta técnica ha permitido que un 91 % de los pacientes mantengan su función sexual previa y que todos ellos conserven la continencia urinaria. Este método ha controlado el tumor en un 85 % de los casos, lo que es un logro significativo para una enfermedad que constituye la tercera causa de muerte oncológica entre varones.
El doctor Bernardino Miñana, director del Centro de Próstata de la clínica, ha destacado que esta terapia se destina a pacientes con tumores de bajo o mediano riesgo, en quienes el cáncer es visible mediante resonancia magnética y que desean evitar tratamientos radicales, como la cirugía o la radioterapia tradicional. Para asegurar los resultados, es clave una rigurosa selección de los candidatos, que incluye la realización de resonancias magnéticas y biopsias transperineales con sistemas de fusión, técnicas que permiten una caracterización detallada del tumor.
La electroporación irreversible es una técnica no térmica que utiliza pulsos eléctricos de alto voltaje para destruir células cancerosas sin afectar de forma significativa el tejido circundante. Este tipo de ablación ha sido adoptado por más del 10 % de los pacientes en el Cáncer Center de la Clínica Universidad de Navarra, y es cada vez más reconocido por su eficacia y por los beneficios en términos de calidad de vida. En paralelo, el centro continúa investigando tratamientos combinados para casos de cáncer de próstata de alto riesgo, como la combinación de cirugía y radioterapia, en un intento por ofrecer alternativas que también conserven la continencia y el bienestar del paciente.
Protonterapia: una radioterapia precisa y segura
Otra tecnología avanzada que está ganando terreno en el tratamiento del cáncer de próstata es la protonterapia. Este tipo de radioterapia emplea protones, partículas subatómicas con propiedades físicas que permiten concentrar la dosis de radiación en el tumor y reducir el impacto en los tejidos sanos cercanos, lo cual disminuye los efectos secundarios. El doctor Miñana ha señalado que la experiencia clínica con protonterapia ha demostrado ser eficaz, minimizando o incluso evitando la radiación en órganos sanos circundantes. Esto reduce considerablemente los efectos secundarios relacionados con la función urinaria y sexual, dos aspectos críticos para la calidad de vida del paciente.
El doctor Mauricio Cambeiro, especialista del Área del Cáncer de Próstata del CCUN, enfatiza que la tecnología actual permite una administración de protonterapia con “máximo control y mínimo riesgo”, preservando tanto la funcionalidad eréctil como la urinaria en comparación con otros tratamientos más invasivos. Los equipos modernos para protonterapia permiten un tratamiento ambicioso en términos de curación y de reducción de complicaciones, lo que hace de esta opción una de las más avanzadas para el tratamiento de tumores de próstata.
La importancia de la terapia personalizada
El enfoque de la Clínica Universidad de Navarra hacia el cáncer de próstata no solo consiste en aplicar las técnicas más avanzadas, sino en personalizar el tratamiento en función de las características de cada paciente. “No hay ningún hombre ni ningún tumor con las mismas características”, afirma el doctor Miñana. La clínica se centra en ofrecer opciones en “360 grados” para el diagnóstico y tratamiento de patologías relacionadas con la próstata, poniendo especial atención en las necesidades y condiciones individuales de cada hombre.
La relevancia de estos tratamientos cobra mayor importancia en un contexto en el que el cáncer de próstata tiene una prevalencia cada vez mayor. Según datos de la Sociedad Española de Oncología Médica, un 12,5 % de los hombres será diagnosticado con esta enfermedad a lo largo de su vida, en especial a partir de los 65 años. Ante estas estadísticas, la Clínica Universidad de Navarra se posiciona como un centro pionero en tratamientos que buscan, no solo combatir el cáncer de próstata, sino mejorar la calidad de vida de quienes lo padecen.
La apuesta por la tecnología y la medicina personalizada en el tratamiento del cáncer de próstata representa un avance significativo en la oncología moderna. Tanto la terapia focal como la protonterapia permiten al paciente mantener funciones esenciales y reducir las secuelas que podrían afectar su bienestar a largo plazo. La innovación y la atención integral son el camino hacia un futuro en el que los pacientes no solo sobreviven, sino que viven mejor.
DiarioDigitalRD
DiarioDigitalRD es un medio de noticias generales que se origina en Santo Domingo, República Dominicana. Para contacto 809-616-6354 Cel. 809-980-6500 y 809-6081130. editor@diariodigitalrd.com.
Artículos relacionados
Perros oyentes desafían exclusividad humana del aprendizaje lingüístico
Investigación revela canes capaces de aprender palabras sin entrenamiento directo Durante décadas, el aprendizaje del lenguaje se consideró una frontera casi exclusivamente humana, limitada —en…
Dormir más el fin de semana desafía mitos sobre adolescentes
La ciencia vincula descanso flexible con menor riesgo depresivo juvenil Un reciente estudio desarrollado por la Universidad de Oregón y la Universidad Médica Upstate del…
Motorola lanza “signature”, su apuesta más premium hasta hoy
Diseño ultradelgado, cuatro cámaras de 50 MP y lujo tecnológico Santo Domingo.– Motorola dio un paso firme hacia el segmento ultra premium con la presentación…